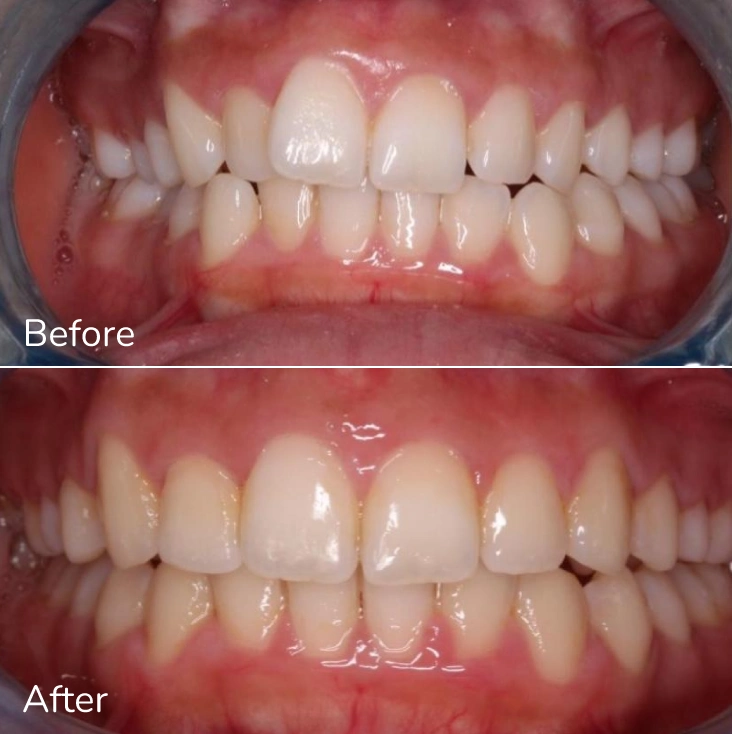
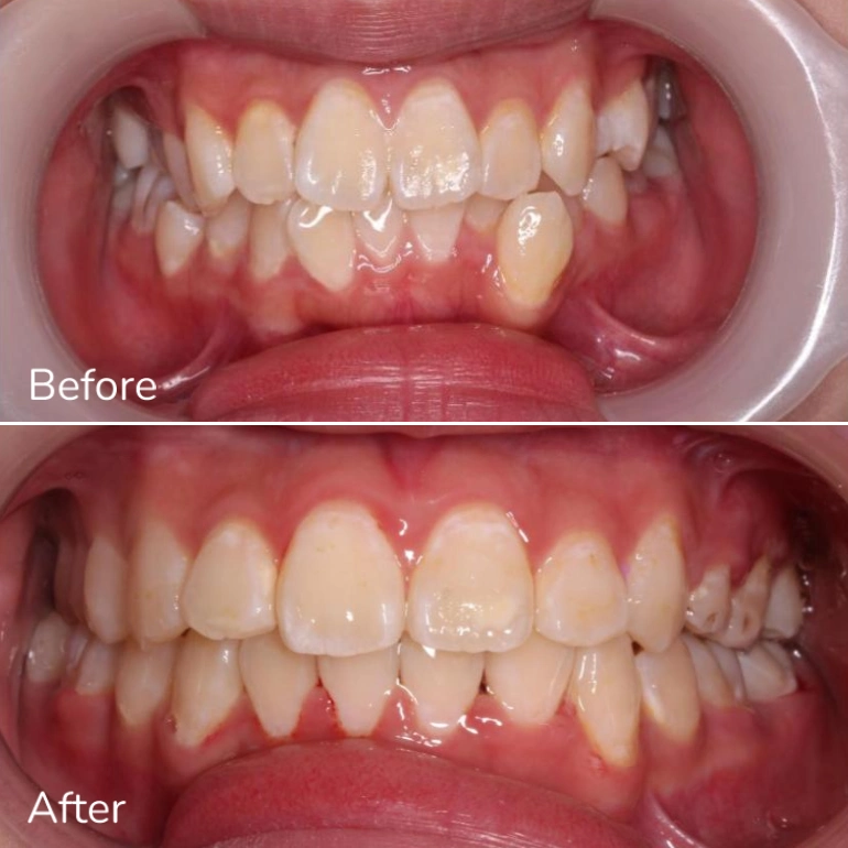
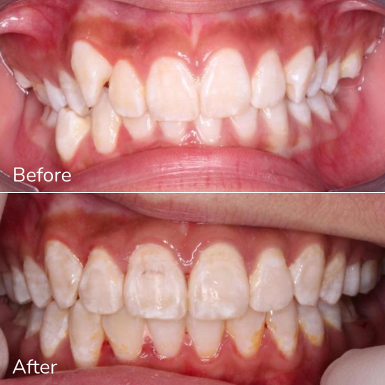
All images are shared with patient consent and are for general informational purposes only. Results, risks, and recovery times vary for each individual and should not be considered medical advice.
For more information and considerations, please refer here.











